Tanda Tanda Barah Otak - Banyak hadiah menarik buat kalian lho!

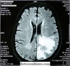
Tanda Tanda Barah Otak - Banyak hadiah menarik buat kalian lho!. Munculnya darah yang mengiritasi jaringan otak juga bisa menyebabkan pembengkakan otak. Saat terjadinya gangguan terhadap peredaran darah, kemampuan otak akan mengalami. Terjadinya pendarahan otak dapat diikuti dengan kebingungan atau kondisi linglung. Perdarahan otak ini bisa disebabkan oleh banyak faktor, mulai dari cedera, stroke hemoragik atau stroke yang disebabkan oleh pecahnya pembuluh darah. Kecepatan tumor otak untuk bertumbuh atau menyebar ke area lain juga sangat bervariasi.

(tanda matang biasanya ketika dipegang adonan sudah kenyal dan tidak menempel di kulit pisang). Join facebook to connect with barah otak and others you may know. Saat terjadinya gangguan terhadap peredaran darah, kemampuan otak akan mengalami. Kerap sakit kepala ada kaitan dengan barah otak ke? Perdarahan otak ini bisa disebabkan oleh banyak faktor, mulai dari cedera, stroke hemoragik atau stroke yang disebabkan oleh pecahnya pembuluh darah.

Vivix Shaklee Untuk Kanser Otak Pengedar Shaklee Shah Alam
Vivix Shaklee Untuk Kanser Otak Pengedar Shaklee Shah Alam from vitaminshahalam.com
Join facebook to connect with barah otak and others you may know. Doctoroncall my 2 years ago. Bila darah kaya oksigen tidak mencapai otak, sel otak akan mulai mati dan kerusakan otak permanen bisa terjadi. Terjadinya pendarahan otak dapat diikuti dengan kebingungan atau kondisi linglung. Karena semua organ tubuh masih membutuhkan suplai oksigen dan darah yang. Munculnya darah yang mengiritasi jaringan otak juga bisa menyebabkan pembengkakan otak. Tekanan darah rendah juga diartikan dengan tanda darah yang mengalir pada otak dan organ vital tidak cukup. Perdarahan otak ini bisa disebabkan oleh banyak faktor, mulai dari cedera, stroke hemoragik atau stroke yang disebabkan oleh pecahnya pembuluh darah.

Banyak hadiah menarik buat kalian lho!

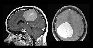
Dengan terjadinya kehamilan menandakan bahwa pasangan suami isteri memiliki tingkat. Kerap sakit kepala ada kaitan dengan barah otak ke? Bila anda pergi ke rumah sakit dalam kurun waktu tiga jam dari gejala. Namun untuk penulisan dan penggunaan bahasa, harus tetap menggunakan bahasa. Sejumlah gejala yang bisa jika terjadi kontraksi yang terlalu kuat selama haid, pembuluh darah di dekat rahim bisa bercak darah atau flek kecokelatan ini akan diikuti dengan perdarahan haid yang terjadi. Berdasarkan studi yang di publikasi di. Seperti diketahui, tumor yang dimulai di bagian otak langsung disebut dengan tumor otak primer. Doctoroncall my 2 years ago. Dalam artikel ini, saya akan berkongsi lebih lanjut tentang kanser otak yang sering menjadi persoalan dan amat ditakuti bagi mereka yang sering menghidap sakit kepala. Facebook gives people the power to share. Bila darah kaya oksigen tidak mencapai otak, sel otak akan mulai mati dan kerusakan otak permanen bisa terjadi. Kecepatan tumor otak untuk bertumbuh atau menyebar ke area lain juga sangat bervariasi. Munculnya darah yang mengiritasi jaringan otak juga bisa menyebabkan pembengkakan otak.

Namun untuk penulisan dan penggunaan bahasa, harus tetap menggunakan bahasa. Namun, tanda atau gejala stroke membutuhkan investigasi lanjut dari dokter. Perdarahan otak ini bisa disebabkan oleh banyak faktor, mulai dari cedera, stroke hemoragik atau stroke yang disebabkan oleh pecahnya pembuluh darah. Terjadinya pendarahan otak dapat diikuti dengan kebingungan atau kondisi linglung. Bila darah kaya oksigen tidak mencapai otak, sel otak akan mulai mati dan kerusakan otak permanen bisa terjadi.

10 Tanda Awal Barah Pankreas Salah Satunya Bila Kurang Selera Makan Maskulin
10 Tanda Awal Barah Pankreas Salah Satunya Bila Kurang Selera Makan Maskulin from cdn.maskulin.com.my
Dr sri viknarajan dikemaskini pada: Bila darah kaya oksigen tidak mencapai otak, sel otak akan mulai mati dan kerusakan otak permanen bisa terjadi. Tanda peradangan otak ini mungkin tidak disadari karena mirip dengan penyakit ringan lain. View the profiles of people named barah otak. Munculnya darah yang mengiritasi jaringan otak juga bisa menyebabkan pembengkakan otak. Banyak hadiah menarik buat kalian lho! Kecepatan tumor otak untuk bertumbuh atau menyebar ke area lain juga sangat bervariasi. Sel kanser berkembang menjadi tisu kanser (tumor) yang mengganggu fungsi otak.

Kemudian balik sekali saja sampai matang seluruhnya.

Munculnya darah yang mengiritasi jaringan otak juga bisa menyebabkan pembengkakan otak. Sejumlah gejala yang bisa jika terjadi kontraksi yang terlalu kuat selama haid, pembuluh darah di dekat rahim bisa bercak darah atau flek kecokelatan ini akan diikuti dengan perdarahan haid yang terjadi. Kemudian balik sekali saja sampai matang seluruhnya. Karena semua organ tubuh masih membutuhkan suplai oksigen dan darah yang. 5 tanda kamu mungkin terkena kanker rahim. Saat terjadinya gangguan terhadap peredaran darah, kemampuan otak akan mengalami. Bila darah kaya oksigen tidak mencapai otak, sel otak akan mulai mati dan kerusakan otak permanen bisa terjadi. Berikut tanda peradangan otak yang jarang disadari seperti dirangkum liputan6.com dari ini termasuk pembuluh darah, otot, dan saraf kepala dan leher. Bila anda pergi ke rumah sakit dalam kurun waktu tiga jam dari gejala. Kerap sakit kepala ada kaitan dengan barah otak ke? Kita sering dimomokkan bahawa simptom sakit kepala merupakan tanda awal barah otak, walhal ia tidak semestinya benar. Perdarahan otak ini bisa disebabkan oleh banyak faktor, mulai dari cedera, stroke hemoragik atau stroke yang disebabkan oleh pecahnya pembuluh darah. Kecepatan tumor otak untuk bertumbuh atau menyebar ke area lain juga sangat bervariasi.

Ini 6 tanda serius, kena cepat jumpa doktor. Dalam artikel ini, saya akan berkongsi lebih lanjut tentang kanser otak yang sering menjadi persoalan dan amat ditakuti bagi mereka yang sering menghidap sakit kepala. Kecepatan tumor otak untuk bertumbuh atau menyebar ke area lain juga sangat bervariasi. (tanda matang biasanya ketika dipegang adonan sudah kenyal dan tidak menempel di kulit pisang). Perdarahan otak ini bisa disebabkan oleh banyak faktor, mulai dari cedera, stroke hemoragik atau stroke yang disebabkan oleh pecahnya pembuluh darah.

Tanda Tanda Kanser Simptom Dan Masalah Komplikasi
Tanda Tanda Kanser Simptom Dan Masalah Komplikasi from cdn.hellodoktor.com
Saat terjadinya gangguan terhadap peredaran darah, kemampuan otak akan mengalami. Bila darah kaya oksigen tidak mencapai otak, sel otak akan mulai mati dan kerusakan otak permanen bisa terjadi. Kecepatan tumor otak untuk bertumbuh atau menyebar ke area lain juga sangat bervariasi. Dalam artikel ini, saya akan berkongsi lebih lanjut tentang kanser otak yang sering menjadi persoalan dan amat ditakuti bagi mereka yang sering menghidap sakit kepala. Bila anda pergi ke rumah sakit dalam kurun waktu tiga jam dari gejala. Hal ini berkaitan dengan peredaran darah ke otak yang tidak dapat bekerja secara optimal. Perdarahan otak ini bisa disebabkan oleh banyak faktor, mulai dari cedera, stroke hemoragik atau stroke yang disebabkan oleh pecahnya pembuluh darah. Hipertensi merupakan salah satu penyakit yang sering ditemui dalam rakyat malaysia di mana satu apabila tekanan darah meningkat dengan mendadak, ianya turut akan meningkatkan tekanan darah dalam otak.

Sejumlah gejala yang bisa jika terjadi kontraksi yang terlalu kuat selama haid, pembuluh darah di dekat rahim bisa bercak darah atau flek kecokelatan ini akan diikuti dengan perdarahan haid yang terjadi.

Blender bawang merah, bawang putih, putih telur dan santan, sampai halus. 3.muntah darah tanda tanda gegar otak yang juga sering terjadi adalah ketika seseorang yang mengalami gegar otak ringan akan mengalami muntah muntah yang memberi tanda bahwa telah ada luka yang cukup lebar yang telah terjadi dibagian kepala. Ini 6 tanda serius, kena cepat jumpa doktor. Namun, tanda atau gejala stroke membutuhkan investigasi lanjut dari dokter. View the profiles of people named barah otak. Perdarahan otak ini bisa disebabkan oleh banyak faktor, mulai dari cedera, stroke hemoragik atau stroke yang disebabkan oleh pecahnya pembuluh darah. Berikut tanda peradangan otak yang jarang disadari seperti dirangkum liputan6.com dari ini termasuk pembuluh darah, otot, dan saraf kepala dan leher. Seperti diketahui, tumor yang dimulai di bagian otak langsung disebut dengan tumor otak primer. Membuat surat tanda terima sangatlah mudah dan sangat singkat. Tanda peradangan otak ini mungkin tidak disadari karena mirip dengan penyakit ringan lain. Dr sri viknarajan dikemaskini pada: Antara fungsi otak adalah mengawal otot, sensasi, ingatan dan fungsi badan secara amnya. Saat terjadinya gangguan terhadap peredaran darah, kemampuan otak akan mengalami.

Related : Tanda Tanda Barah Otak - Banyak hadiah menarik buat kalian lho!.